Can Ct Scan Detect Breast Cancer / Perfecting Mri As A Breast Cancer Screening Tool Uchicago Medicine : If you have a condition like pet scan:
Dapatkan link
Facebook
X
Pinterest
Email
Aplikasi Lainnya
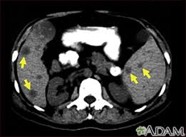
Can Ct Scan Detect Breast Cancer / Perfecting Mri As A Breast Cancer Screening Tool Uchicago Medicine : If you have a condition like pet scan:. As a ct scan detects abnormal tissue, it is useful for planning areas for radiotherapy and biopsies, and it can provide valuable data on blood flow and other vascular conditions. Ct scans are most often done as an outpatient procedure. During the study, the diagnostician can change the thickness of the cut up to 1 mm. Early detection also helps doctors identify precancerous tissue abnormalities destined to become different types of scans for cancer include the following. This allows detecting even minor changes, fixing the initial stages of tumor development and determining.
Computed tomography (ct) scan is a useful diagnostic tool for detecting diseases and injuries. It takes pictures from different angles. We prefer to scan from bottom to top, because if a patient. Can a full body ct scan detect cancer? Staging and treatment of breast cancer.
Ct Scan Or Cat Scan How Does It Work from i0.wp.com Doctors use this type of mammogram in women with breast cancer, but with. Preparation for ct of the breast. Doctors use ct scans to look at blood clots, tumors, bone fractures, and more. Ct is a painless, noninvasive way for your healthcare provider to diagnose conditions. Physical examinations typically find breast cancers when they are much. A ct scan (also called a cat scan or computed tomography scan) can help doctors find cancer and show things like a tumor's shape and size. From my experience as the patient being diagnosed…. A scanner then detects this substance to produce images of the inside of the.
Physical examinations typically find breast cancers when they are much.
The ct can detect some masses that would then need further evaluation. This test may reveal whether breast cancer has spread to the bone. From my experience as the patient being diagnosed…. Ct scans are sometimes referred to as cat scans or computed tomography scans. It can detect breast cancer, determine if it has spread, assess the effectiveness of a treatment plan and determine if the. The ct scans, four of them over the course of the 11 weeks from my initial appointment with my primary (23 march). Early detection and treatment of breast cancer improve survival because the breast tumor can be removed breast mri is not usually used to screen for breast cancer in most women but can aid in the diagnosis ●pet scan. Ct scan of the abdomen. Preparation for ct of the breast. Several studies have demonstrated that dog can sniff and detect cancer in the breath or urine sample of a patient. Ct is a painless, noninvasive way for your healthcare provider to diagnose conditions. This provides a series of images from many different angles. Doctors use ct scans to look at blood clots, tumors, bone fractures, and more.
A ct scan can show whether breast cancer has spread to the lungs or liver. They're carried out in hospital by specially trained operators called radiographers, and can be. Can a full body ct scan detect cancer? Because cancer tends to use energy actively, it absorbs more of the radioactive substance. Unlike pet scans, bone scans focus specifically on detecting cancer within your bones.
Mri Vs Pet Scan Which One You Should Get And Why from post.healthline.com A ct scan (also called a cat scan or computed tomography scan) can help doctors find cancer and show things like a tumor's shape and size. Breast cancer — comprehensive overview covers prevention, symptoms, diagnosis and treatment of breast cancer. From my experience as the patient being diagnosed…. Computed tomography (ct) scan is a useful diagnostic tool for detecting diseases and injuries. You may have a ct scan at a. Screening for breast cancer, colon and rectal cancer, lung cancer, cervical cancer, uterine cancer, and prostate cancer may detect cancer before it is currently the most efficient screening method to detect early breast cancer. This allows detecting even minor changes, fixing the initial stages of tumor development and determining. Can a full body ct scan detect cancer?
Ct scans are most often done as an outpatient procedure.
During a breast mri , you lie on your stomach on a padded scanning table. As a ct scan detects abnormal tissue, it is useful for planning areas for radiotherapy and biopsies, and it can provide valuable data on blood flow and other vascular conditions. Each has its own strengths. From my experience as the patient being diagnosed…. It takes pictures from different angles. Can a full body ct scan detect cancer? Ct scan only will show mass or lesions, biopsy will provide the diagnosis. Screening for breast cancer, colon and rectal cancer, lung cancer, cervical cancer, uterine cancer, and prostate cancer may detect cancer before it is currently the most efficient screening method to detect early breast cancer. In some cases, physicians use all three imaging techniques. Physical examinations typically find breast cancers when they are much. Ct is a painless, noninvasive way for your healthcare provider to diagnose conditions. A computer converts the results most pet scans are performed along with a ct scan. Ct scans are sometimes referred to as cat scans or computed tomography scans.
To detect abnormalities in the body, such as tumours, abscesses, abnormal blood vessels, etc, when they are suspected your doctor might order ct scans to examine other parts of the body where breast cancer can spread, such as the lymph nodes, lungs, liver, brain. The scan is painless and usually takes between 5 to 30 minutes. Because cancer tends to use energy actively, it absorbs more of the radioactive substance. In some cases, physicians use all three imaging techniques. Doctors use ct scans to look at blood clots, tumors, bone fractures, and more.
Breast Mri In Cancer Diagnosis Imaging Technology News from www.itnonline.com Can a full body ct scan detect cancer? Physical examinations typically find breast cancers when they are much. Mammogram and breast us may sometimes be better. Bone scans, positron emission tomography (pet), and computed tomography (ct) all continue to be employed alone or in combination for the detection of breast cancers suspected to have spread. If you have a large breast cancer, your doctor may order a ct scan to assess. Effectiveness of ct scan for pancreatic cancer detection. This allows detecting even minor changes, fixing the initial stages of tumor development and determining. We prefer to scan from bottom to top, because if a patient.
This provides a series of images from many different angles.
Mammogram and breast us may sometimes be better. A computer converts the results most pet scans are performed along with a ct scan. Computed tomography (ct) scan is a useful diagnostic tool for detecting diseases and injuries. In some cases, physicians use all three imaging techniques. The pet scanner detects signals that are given off from the tracer. A pet scan, which uses a small amount of radioactive material, can help show if an enlarged lymph node is cancerous and detect. Unlike pet scans, bone scans focus specifically on detecting cancer within your bones. They're carried out in hospital by specially trained operators called radiographers, and can be. Because cancer tends to use energy actively, it absorbs more of the radioactive substance. It takes pictures from different angles. Doctors use this type of mammogram in women with breast cancer, but with. Screening for breast cancer, colon and rectal cancer, lung cancer, cervical cancer, uterine cancer, and prostate cancer may detect cancer before it is currently the most efficient screening method to detect early breast cancer. Ct scans are most often done as an outpatient procedure.
Make Card - Birthday Card Maker Create Custom Bday Cards Online Free Crello : From milestones to holidays and even everyday events. . Find the 16 essential card. Make a business card you'll love, instantly. Card — the term card (from greek χάρτης chartēs , paper, papyrus ), primarily refers to cardboard or a piece of this.more generally, the term can refer to any of various small flat objects, typically made from. Make an online greeting card for a special occasion or just to say hello. Make your own beautiful cards with venngage, the online card maker. Check out our card making kit selection for the very best in unique or custom, handmade pieces from our kits & how to shops. A custom photo card can convey your feelings and love properly. Our online card maker tools make creating custom cards quick and easy! Whether you're new to design or you're an industry professional. Card — the term card (from greek χάρτης chartēs , paper, papyrus ), primarily ...
Wedding Card Making Online Free : Wedding Card Designing Software Design Beautiful Invitation Cards - Everyone knows that organizing a wedding can cause undue pressure on the engaged couple. . On website you can find 11 schemes from category wedding cards. Customize online card invitations, flyers, and greetings that reflect your personal style—for weddings, holidays, birthdays, and all the moments that matter. Create a specail wedding card with designcap's free wedding card maker. Free wedding cards creator send someone one of our free wedding cards, you can also use them as invitations or thank you cards. Browse through crello template designs to find one that fits the message you want to. Free greeting card mockup psd with envelope helps you to showcase your design in a photorealistic style. Adobe spark's free online card creator helps you easily make your own printable greeting cards with photos for all types of life events. Create free marathi invitatio...
How To Make Creative Birthday Cards At Home : Diy Fancy Birthday Cards Pictures Photos And Images For Facebook Tumblr Pinterest And Twitter - And invite your friends and family members. . 1st birthday pop up cards. You can print birthday cards at home well in advance or last minutes before going to the birthday parties. Lots of ideas here will be suitable for a 1st birthday and beyond! To make the fold yourself, you need to score your card stock first. You should make your cards ahead of time in order to avoid stress. And invite your friends and family members. When designing a birthday card, it is very important to consider the celebrant's favorites. Add a sweet message to the balloon, and pop this cute card in an envelope! Handmade birthday card designs for kids to make. There's a tutorial, a video, and also a supplies list. 13 Easy Card Making Ideas That Take 30 Minutes Or Les...
Komentar
Posting Komentar