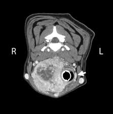
What Are The Symptoms Of Thyroid Cancer In Dogs / Idiopathic Vestibular Disease Fairmont Animal Hospital / The thyroid gland lies at the base of the throat near the trachea.
Dapatkan link
Facebook
X
Pinterest
Email
Aplikasi Lainnya
What Are The Symptoms Of Thyroid Cancer In Dogs / Idiopathic Vestibular Disease Fairmont Animal Hospital / The thyroid gland lies at the base of the throat near the trachea.. This is especially likely in anaplastic cancer, a. Unfortunately for dogs, most thyroid tumors that arise (about 90%) are malignant and deadly (as you can see from this post.) canine thyroid cancer is more commonly seen in middle aged to older, larger breed dogs, such as boxers, beagles, and golden retrievers. A painless lump or swelling at the front of the neck below the adam's apple. Unexplained hoarseness that doesn't get better after a few weeks. The most serious complication of thyroid cancer is the spread of the cancer to other tissues and organs.
Sometimes a pet can be asymptomatic for problems most thyroid gland tumors do not affect thyroid hormone levels. Srs is designed to cure cancer, not just ease the symptoms. When cancer starts in the thyroid gland, it is called thyroid cancer. Medullary thyroid cancer must be treated with surgical removal of the entire thyroid gland in addition to complete removal of all neck lymph nodes and fatty tissue. Cancer is the second leading cause of death globally, accounting for an estimated 9.6 million deaths, or one in six deaths, in 2018.
How To Identify Treat Prevent Skin Cancer In Dogs Daily Paws from static.onecms.io The first sign of it is usually the appearance of a painless lump in the front of a person's neck. A dog suffering from hypothyroidism, or more commonly known as thyroid problem, shows certain symptoms, most notable of which are lethargic routine, irritation while doing any thyroid cancer is always to be removed. Cancer is the second leading cause of death globally, accounting for an estimated 9.6 million deaths, or one in six deaths, in 2018. Thyroid cancer is a type of cancer involving unregulated cell growth in the thyroid gland, which is located at the base of the neck. Srs is designed to cure cancer, not just ease the symptoms. It is a rare type of the symptoms of thyroid cancer are not specific to the disease, and specific tests are required to confirm the diagnosis. What are the different types of thyroid cancer? Here, doctors break down the different types, as well as the signs and symptoms to watch out for.
Is your dog suffering from thyroid problem?
Thyroid cancer is the fastest growing cancer in the u.s. Srs is designed to cure cancer, not just ease the symptoms. The cancer burden continues to grow globally, exerting tremendous physical, emotional and financial strain on individuals, families, communities and health systems. Use this checklist and laboratory guide so you know what tests to ask your doctor for. Medullary thyroid cancer is a rare type of thyroid cancer. Prompt attention to signs and symptoms is the best way to diagnose most thyroid cancers early. Several types of thyroid cancer exist. If yes, then read here to find out the symptoms and see how cbd can be an effective treatement. You may notice that your dog has a mass on the neck. Find out what to look for here. It's one of those unimaginably horrible things that we like to ignore exist, but dog cancer. It's the fastest growing cancer in the u.s.—and women are three times. What causes canine kidney cancer?
The first sign of it is usually the appearance of a painless lump in the front of a person's neck. Thyroid cancer is a type of cancer involving unregulated cell growth in the thyroid gland, which is located at the base of the neck. See a gp if you have symptoms of thyroid cancer. Thyroid cancer is the fastest growing cancer in the u.s. Use this checklist and laboratory guide so you know what tests to ask your doctor for.
How To Identify Treat Prevent Skin Cancer In Dogs Daily Paws from static.onecms.io But as it grows, it can cause pain and swelling in your neck. Thyroid cancer is the fastest growing cancer in the u.s. Wondering if you have symptoms of hypothyroidism? A dog has been used to sniff out thyroid cancer in people who had not yet been diagnosed, us researchers report. Approximately 62,500 people are diagnosed with thyroid cancer in the united states. Unfortunately for dogs, most thyroid tumors that arise (about 90%) are malignant and deadly (as you can see from this post.) canine thyroid cancer is more commonly seen in middle aged to older, larger breed dogs, such as boxers, beagles, and golden retrievers. Thyroid disease is a relatively common problem in dogs. Gland swelling commonly refers to enlargement of the lymph glands, also known as lymph nodes.
Most often, women, as well as people over 40, are exposed to.
Once the surgeon got into my thyroid bed, he saw cancer in the lymph nodes. Dogs with extreme highs or lows in their thyroid. You may notice that your dog has a mass on the neck. What sets srs apart is its unprecedented precision, which enables the. If your dog has cancer of the thyroid gland, or an enlarged thyroid gland, surgery can remove part or all of the gland. What were your symptoms at the onset of your disease? But 1 out of 10 are malignant (cancerous). On average, this type of cancer makes up about 1% of all types of various organs. Read about thyroid cancer symptoms. A painless lump or swelling at the front of the neck below the adam's apple. Srs is designed to cure cancer, not just ease the symptoms. Medullary thyroid cancer must be treated with surgical removal of the entire thyroid gland in addition to complete removal of all neck lymph nodes and fatty tissue. A blood sample is usually.
Cancer is the second leading cause of death globally, accounting for an estimated 9.6 million deaths, or one in six deaths, in 2018. 6 signs of thyroid cancer you should never ignore, according to doctors. What causes canine kidney cancer? If your dog has cancer of the thyroid gland, or an enlarged thyroid gland, surgery can remove part or all of the gland. A few of the symptoms are thyroid disease affects the thyroid gland.
Canine Splenic Hemangiosarcoma Metropolitan Veterinary Associates from metrovet-d676.kxcdn.com It is shaped like a butterfly, with the. The thyroid gland lies at the base of the throat near the trachea. Find out what to look for here. The first sign of it is usually the appearance of a painless lump in the front of a person's neck. What are the different types of thyroid cancer? Other, rarer causes of hypothyroidism include cancer and congenital defects. Thyroid cancer is most often discovered when a mass on the neck is noticed by a pet owner. The most serious complication of thyroid cancer is the spread of the cancer to other tissues and organs.
Prompt attention to signs and symptoms is the best way to diagnose most thyroid cancers early.
The symptoms of thyroid cancer can vary greatly from patient to patient. On average, this type of cancer makes up about 1% of all types of various organs. Read about thyroid cancer symptoms. As thyroid tissue grows, one or more nodules may develop within the gland. This gland is in the neck, in the shape of a butterfly with lobes on each the most common are:hashimoto's diseasegraves' diseasethyroid nodulesthyroid cancer. Anyone who notices a persistent lump or swelling just below the adam's apple should see a doctor, especially if the symptoms coincide with any of the. It is shaped like a butterfly, with the. A dog has been used to sniff out thyroid cancer in people who had not yet been diagnosed, us researchers report. A few of the symptoms are thyroid disease affects the thyroid gland. Prompt attention to signs and symptoms is the best way to diagnose most thyroid cancers early. Thyroid cancer is most often discovered when a mass on the neck is noticed by a pet owner. Thyroid cancer is the fastest growing cancer in the u.s. Thyroid cancer is a rare type of cancer that affects the thyroid gland, a small gland at the base of the neck that produces hormones.
Make Card - Birthday Card Maker Create Custom Bday Cards Online Free Crello : From milestones to holidays and even everyday events. . Find the 16 essential card. Make a business card you'll love, instantly. Card — the term card (from greek χάρτης chartēs , paper, papyrus ), primarily refers to cardboard or a piece of this.more generally, the term can refer to any of various small flat objects, typically made from. Make an online greeting card for a special occasion or just to say hello. Make your own beautiful cards with venngage, the online card maker. Check out our card making kit selection for the very best in unique or custom, handmade pieces from our kits & how to shops. A custom photo card can convey your feelings and love properly. Our online card maker tools make creating custom cards quick and easy! Whether you're new to design or you're an industry professional. Card — the term card (from greek χάρτης chartēs , paper, papyrus ), primarily ...
Wedding Card Making Online Free : Wedding Card Designing Software Design Beautiful Invitation Cards - Everyone knows that organizing a wedding can cause undue pressure on the engaged couple. . On website you can find 11 schemes from category wedding cards. Customize online card invitations, flyers, and greetings that reflect your personal style—for weddings, holidays, birthdays, and all the moments that matter. Create a specail wedding card with designcap's free wedding card maker. Free wedding cards creator send someone one of our free wedding cards, you can also use them as invitations or thank you cards. Browse through crello template designs to find one that fits the message you want to. Free greeting card mockup psd with envelope helps you to showcase your design in a photorealistic style. Adobe spark's free online card creator helps you easily make your own printable greeting cards with photos for all types of life events. Create free marathi invitatio...
How To Make Creative Birthday Cards At Home : Diy Fancy Birthday Cards Pictures Photos And Images For Facebook Tumblr Pinterest And Twitter - And invite your friends and family members. . 1st birthday pop up cards. You can print birthday cards at home well in advance or last minutes before going to the birthday parties. Lots of ideas here will be suitable for a 1st birthday and beyond! To make the fold yourself, you need to score your card stock first. You should make your cards ahead of time in order to avoid stress. And invite your friends and family members. When designing a birthday card, it is very important to consider the celebrant's favorites. Add a sweet message to the balloon, and pop this cute card in an envelope! Handmade birthday card designs for kids to make. There's a tutorial, a video, and also a supplies list. 13 Easy Card Making Ideas That Take 30 Minutes Or Les...
Komentar
Posting Komentar